Ultraäänestäkö uusi työkalu sikiön insuliiniaineenvaihdunnan tutkimiseen?
Äidin kohonnut verensokeri vaikuttaa sikiöön monin tavoin – muun muassa maksan kokoon, verenkiertoon, rasvapitoisuuteen ja aineenvaihduntaan. Nyt tutkijat selvittävät, voisiko ultraääni tarjota tehokkaan keinon sikiön aineenvaihdunnan seuraamiseen ja mahdollistaa raskausdiabeteksen aiempaa yksilöllisemmän hoidon.Julkaistu: 6.3.2025
Teksti: Mikael Huhtala
Kuva: iStock
Toimitustyö: Viestintätoimisto Jokiranta Oy
Suomessa yli 20 prosenttia raskaana olevista naisista sairastuu raskausdiabetekseen, johon liittyy äidin tavallista korkeampi verensokeritaso. Kun äidin verensokeritaso nousee, osa sokerista siirtyy istukan läpi sikiön verenkiertoon ja nostaa myös sikiön verensokeritasoa. Sikiö reagoi tähän jo raskauden varhaisilla viikoilla lisäämällä insuliinin eritystä. Insuliini toimii voimakkaana kasvuhormonina, joka edistää sikiön kasvua ja rasvakudoksen muodostusta. Lisääntynyt insuliinineritys kasvattaa vastasyntyneen riskiä matalille verensokereille ja voi hidastaa keuhkojen kypsymistä.

Kuva 1: Raskausdiabeteksen esiintyvyys Suomessa 2014–2019. Lähde: THL, http://urn.fi/URN:NBN:fi-fe2020112092125
Raskausdiabetes vaikuttaa sikiöön monin tavoin
Raskausdiabetes on usein oireeton, ja se todetaan yleensä raskausaikana tehtävällä sokerirasitustestillä. Se voidaan luokitella ruokavaliolla hoidettaviin (White A) ja lääkehoitoa vaativiin tapauksiin (White A/B). Todellisuudessa tautikirjo on kuitenkin monimuotoisempi, ja sikiön kiihtyneen kasvun sekä vastasyntyneisyyskauden ongelmien riski vaihtelee yksilökohtaisesti. Äidin verensokeritaso tai ultraääneen perustuva sikiön painoarvio ovat vain karkeita mittareita sikiön aineenvaihdunnalle.
Aiemmat tutkimukset ovat osoittaneet, että äidin kohonnut verensokeri vaikuttaa sikiön maksan kokoon, verenkiertoon, rasvapitoisuuteen ja aineenvaihduntaan. Nämä vaikutukset välittyvät oletettavasti suurilta osin sikiön insuliinin kautta. Tähän mennessä ei ole kuitenkaan tutkittu, voidaanko sikiön insuliininerityksen tasoa arvioida ultraäänikuvien perusteella.
Radiomiikka avuksi sikiön aineenvaihdunnan arviointiin
Radiomiikka on kehittyvä tutkimusala, jossa tietokonealgoritmien avulla analysoidaan lääketieteellisistä kuvista kudosten, elinten ja rakenteiden tekstuuria ja muotoa kuvaavia lukuarvoja. Näitä lukuarvoja hyödynnetään tilastomalleissa esimerkiksi sairauksien tunnistamiseen, muun muassa syöpäkasvainten erotteluun. Radiomiikka-analyysi voidaan tehdä erilaisista kuvantamismenetelmistä, kuten röntgen-, magneetti- ja ultraäänikuvista.
Tutkimuksessamme selvitämme, onko sikiön maksan ultraäänikuvien tekstuurista mahdollista havaita viitteitä sikiön insuliininerityksestä. Menetelmä voisi tarjota nopean ja turvallisen keinon arvioida sikiön aineenvaihduntaa ja mahdollistaa aiempaa tarkemman raskausdiabeteksen hoidon.

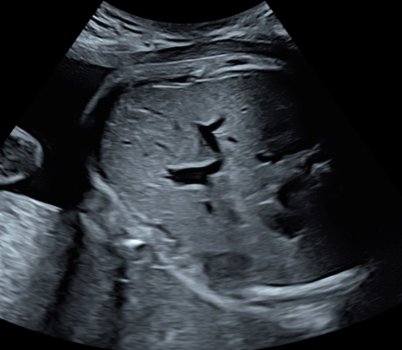
Kuva 2: 3D ultraäänikuva
Kuva 3: Sikiön maksa ultraäänikuvassa.
Kohti yksilöllisempää hoitoa
Tutkimuksemme ensimmäisessä vaiheessa vertailemme loppuraskaudesta otettuja sikiön maksan ultraäänikuvia tyypin 1 diabetesta sairastavien äitien ja terveiden verrokkien välillä. Tutkittavat kuvataan Tyksin naistenklinikalla, ja tallennetuista ultraäänikuvista tehdään tietokoneavusteinen tekstuurianalyysi radiomiikkatyökaluja käyttäen. Tilasto- ja koneoppimismallien avulla arvioimme menetelmän toistettavuutta ja ryhmien välisiä eroja.
Ultraääni on turvallinen ja laajalti käytetty kuvantamismenetelmä raskauden seurannassa. Koska ultraäänilaitteet ovat jo nyt erikoissairaanhoidon äitipoliklinikoilla käytössä, ultraääneen perustuvien menetelmien käyttöönotto voisi tapahtua nopeasti ja kustannustehokkaasti. Tutkimuksemme tähtää tuomaan uuden, yksilöllisesti kohdennetun lähestymistavan raskausdiabeteksen seurantaan ja hoitoon.

LT Mikael Huhtala työskentelee naistentautien ja synnytysten erikoislääkärinä Turun yliopistollisessa keskussairaalassa (TYKS). Hän on mukana useammassa raskausdiabetesta ja raskaudenaikaista hoitoa käsittelevässä tutkimusprojektissa. Huhtalan väitöskirja (2021) käsitteli raskausdiabeteksen lääkehoidon vaikutuksia äidin ja sikiön aineenvaihduntaan.
